西鉄久留米駅より徒歩1分
駐車場完備

TEL0942-34-0118

MENU

お知らせ
  • お知らせ
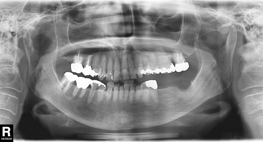
  • インプラント治療事例にNO.62を掲載しました。

インプラント治療事例掲載

202601/30

インプラント治療事例掲載

インプラント治療事例にNO.62を掲載しました。

PAGE TOP

くまもと歯科3つのお約束くまもと歯科3つのお約束