- 主 訴
- 奥歯で噛めるようにして欲しい
- 年 齢
- 63歳
- 性 別
- 女性
- 通院回数
- 12回
- 診療区分
- 自費診療
- 費 用
- ¥950.000ー
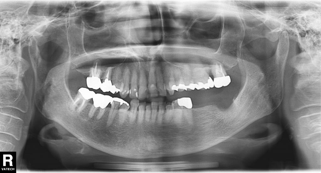
治療前写真

- 重度の歯周病で奥歯をなくされ、「でも入れ歯はしたく無い。インプラント出来ないか?」という相談で来院されました。

- その部分の全体のレントゲン写真です。
左下の骨が大きく吸収していて、通常のインプラントは難しい状態でした。
治療中写真

- CTを撮影しても、同部の骨は大きく吸収、喪失していました。
しかしGBRという方法を用いて、インプラントは可能と判断しました。

- GBRを併用してインプラントを埋入した時のレントゲン写真です。
この状態で、骨を造成した部が石灰化するのを待ちます。
治療後写真

- 術後の口腔内写真です。
以前の様に、差し歯が並んでいて、以前と同じ様に噛んで頂くことが出来る様になりました。

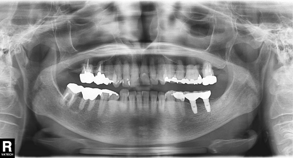
- 術後の全体のレントゲン写真です。
骨が大きく吸収していた部分はほぼ同じ高さに回復しています。
「骨造成」が上手くいっている状態です。
治療内容(使用材料含む)と医師所見
【CT解析費用】¥30.000-
【使用材料等】
インプラント:¥220.000-/1本×2=¥440.000-(ZIMMER BIOMET)、GBR(¥150.000-/1箇所(β-TCP(オスフィール ⓡ、Olympus Terumo(社))、H.A.(アパセラム ⓡ、京セラメディカル(社))、PRP. PRF、メタルボンド:¥120.000--/1本(インプラント部分)×2=¥240.000-、メタルボンド:¥90.000--/1本(支台部分)
【院長所見】術前にCTによる正確な審査を行ってGBRテクニックを併用してインプラントを行う事により、骨が不足する部分にも、インプラントを行う事が可能になります。
インプラント治療事例についてのご案内
当院は説明責任を全うする観点からインプラント治療事例一覧(主訴、治療内容、症例写真等)を公開しております。
当ページにて公開しております治療事例は、患者さんより掲載許可をいただいております。
掲載の治療事例に関するお問合せはお問合せフォームにて承っております。
フォームの内容欄へ対象ページのURLを記載していただきお気軽にお問合せください。





