- 主 訴
- 前歯が壊れた
- 年 齢
- 68歳
- 性 別
- 女性
- 通院回数
- 6回
- 診療区分
- 自費診療
- 費 用
- ¥270.000ー
治療前写真

- 「前歯がグラグラして噛めない!」と言って来院されました。
歯の周りの歯茎は赤黒く腫れていました。

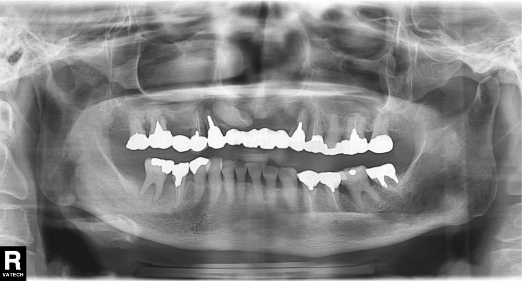
- その時の全体のレントゲン写真です。
前歯も、一部の奥歯も歯の周りの骨が大きく吸収して、動揺している状態でした。
治療中写真

- 保存できない歯は抜歯し、奥歯の治療を行ったのち、「目立たない入れ歯」を作成しました。

- 内側は金属の薄いプレートを使い、舌感を良くし、唇側は金具を使わないタイプの審美性に優れた義歯を作成しました。
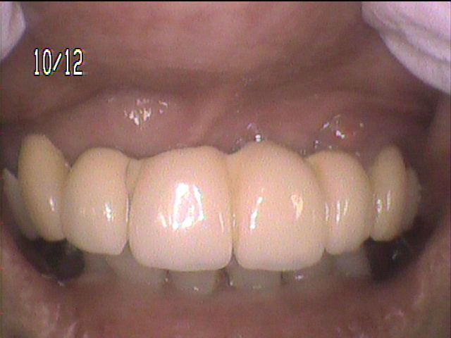
治療後写真

- 「目立たない義歯」を装着した状態です。
金具が無いので、良く見ないと義歯を装着していることは分かりません。

- 内側には薄い金属のプレートが入っているので、奥歯でしっかり固定されています。
治療内容及び医師所見
【使用材料】スマートデンチャー:¥250.000―
【治療期間】3週間程度
【院長所見】スマートデンチャーは、クラスプ(大きな金具)を使わない義歯なので審美性が高く,インプラントの様な手術を行う必要が無いので治療期間も非常に短くできます。但し、義歯を引っかける為の鈎歯は必要です。
虫歯治療事例についてのご案内
当院は説明責任を全うする観点から虫歯治療事例一覧(主訴、治療内容、症例写真等)を公開しております。
当ページにて公開しております治療事例は、患者さんより掲載許可をいただいております。
掲載の治療事例に関するお問合せはお問合せフォームにて承っております。
フォームの内容欄へ対象ページのURLを記載していただきお気軽にお問合せください。





