- 主 訴
- 小臼歯部にインプラントは出来ないか?
- 年 齢
- 63歳
- 性 別
- 男性
- 通院回数
- 11回回
- 診療区分
- 自費診療
- 費 用
- ¥405.000ー
治療前写真

- 奥歯が腫れて、噛むと痛いと言うことで来院されました。

- 抜歯してみると、歯根中央部で真横に折れていました。
治療中写真

- 「インプラントで修復できないか?」と言うことで、CTを撮影し、手術を行いました。

- 適切な位置に埋入しました。
治療後写真

- 術後の口腔内写真です。
自分の歯と同じ様な外観に修復できました。

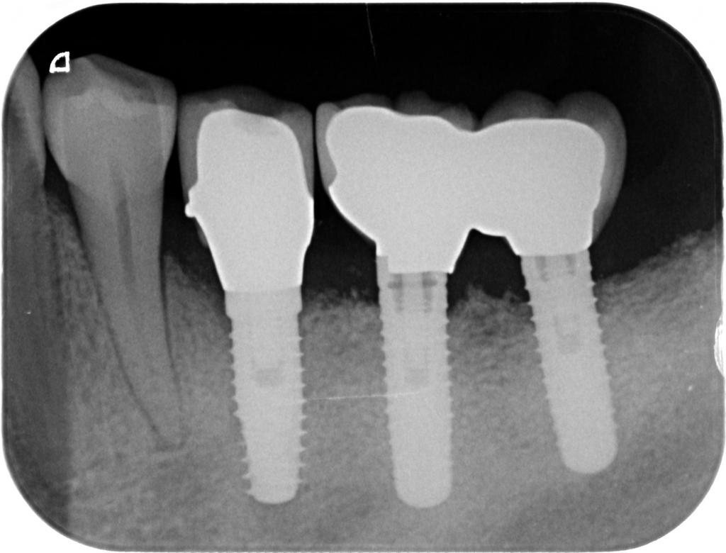
- 術後のレントゲン写真です。
20年ほど前に行ったインプラント部も骨の吸収も見られず、問題なく機能しています。
治療内容(使用材料含む)と医師所見
【CT解析費用】¥30.000-
【使用材料等】Socket Preservation:¥35.000-(Arrow Bone、Bio-Oss、Apaceram)
、PRP. PRF.、インプラント:¥220.000-/1本=¥220.000-(ZIMMER BIOMET)、メタルボンド:¥120.000--/1本(インプラント部分)
【院長所見】ソケットプリザベーションという方法を用いることで骨の吸収を抑え、インプラントを行う場合でも、審美的にも機能的にも自分の歯と同じように咬むことが出来るように骨の造成が出来ています。
インプラント治療事例についてのご案内
当院は説明責任を全うする観点からインプラント治療事例一覧(主訴、治療内容、症例写真等)を公開しております。
当ページにて公開しております治療事例は、患者さんより掲載許可をいただいております。
掲載の治療事例に関するお問合せはお問合せフォームにて承っております。
フォームの内容欄へ対象ページのURLを記載していただきお気軽にお問合せください。





