- 主 訴
- 下顎奥歯が痛い。
- 年 齢
- 64歳
- 性 別
- 女性
- 通院回数
- 14回
- 診療区分
- 自費診療
- 費 用
- ¥405,000ー
治療前写真

- 「右下の奥歯が痛くて噛めない!」
「噛める様にして欲しい!」
と言って来院されました。

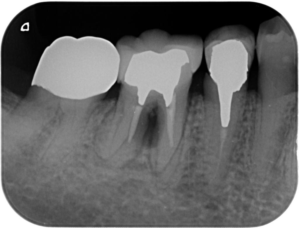
- その時のレントゲン写真です。
根尖部や根周囲では無く、分岐部の病変でした。
この様なケースでは治療をしても完治は困難なので、「根管治療を行ってみて、再度考えるか?」「抜歯をしてインプラントを行うか?」色々と相談し、抜歯しインプラントを行うことにしました。
治療中写真

- 抜歯して骨を作る処置を行い、3ヶ月ほど経過後CTを撮影し、インプラントを行いました。

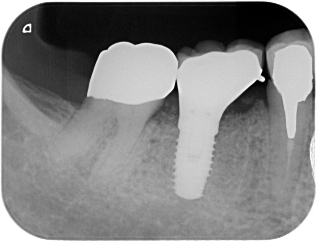
- インプラント埋入後のレントゲン写真です。
適切な位置、方向に埋入されています。
治療後写真

- 術後の口腔内写真です。
痛みもなく、隣接する歯に負担を掛ける事もなく、以前の様に噛める様になりました。

- 術後のレントゲン写真です。
治療内容(使用材料含む)と医師所見
【CT解析費用】¥30.000-
【使用材料等】Socket Preservation:¥35.000-(Arrow Bone、Bio-Oss、Apaceram)、インプラント:¥220.000-/1本(ZIMMER BIOMET)、メタルボンド:¥120.000--/1本(インプラント部分)
【院長所見】ソケットプリザベーションという方法を用いることで骨の吸収を抑え、インプラントを行う場合でも、審美的にも機能的にも自分の歯と同じように咬むことが出来るように骨の造成が出来ています。
インプラント治療事例についてのご案内
当院は説明責任を全うする観点からインプラント治療事例一覧(主訴、治療内容、症例写真等)を公開しております。
当ページにて公開しております治療事例は、患者さんより掲載許可をいただいております。
掲載の治療事例に関するお問合せはお問合せフォームにて承っております。
フォームの内容欄へ対象ページのURLを記載していただきお気軽にお問合せください。





