- 主 訴
- 下顎奥歯が痛くて噛めない。
- 年 齢
- 68歳
- 性 別
- 男性
- 通院回数
- 10回
- 診療区分
- 自費
- 費 用
- ¥705.000ー
治療前写真

- 「奥歯が痛くて噛めない!歯茎が腫れている!」と言って来院されました。
その時の口腔内写真です。1本、歯が無くてブリッジの様な状態になっています。

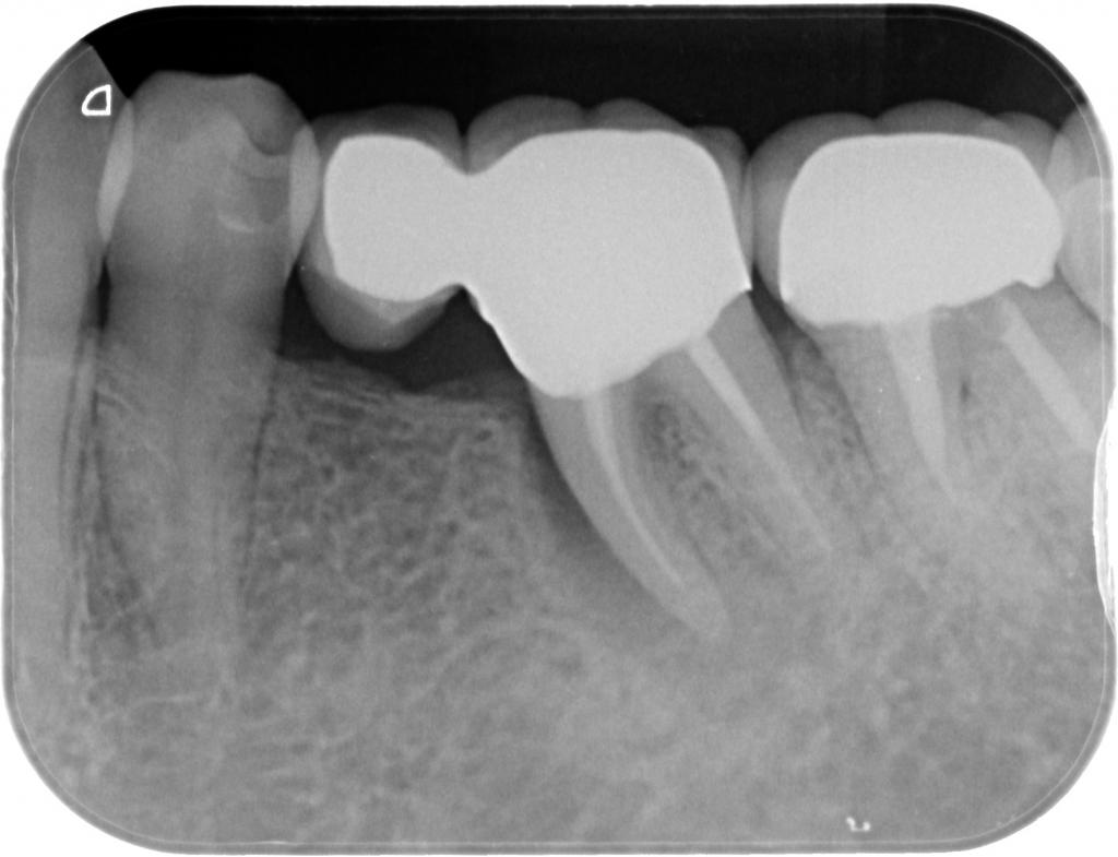
- その時のレントゲン写真です。
根っこの周囲が、上から下まで黒くなっています。
「歯根破折」した時の典型的な写真です。
患者さんと相談し、抜歯してインプラントにすることにしました。
治療中写真

- 抜歯後3ヶ月ほど経過してCTを撮影しました。
抜歯時「抜歯窩保存法」という処置をしていたので、骨の幅、高さ、充分に確保されていました。

- 埋入直後のレントゲン写真です。
適切な位置に2本、埋入されています。
治療後写真

- 術後の口腔内写真です。
本来歯牙があった部分に職立され、審美的にも機能的にも適切に植立されています。

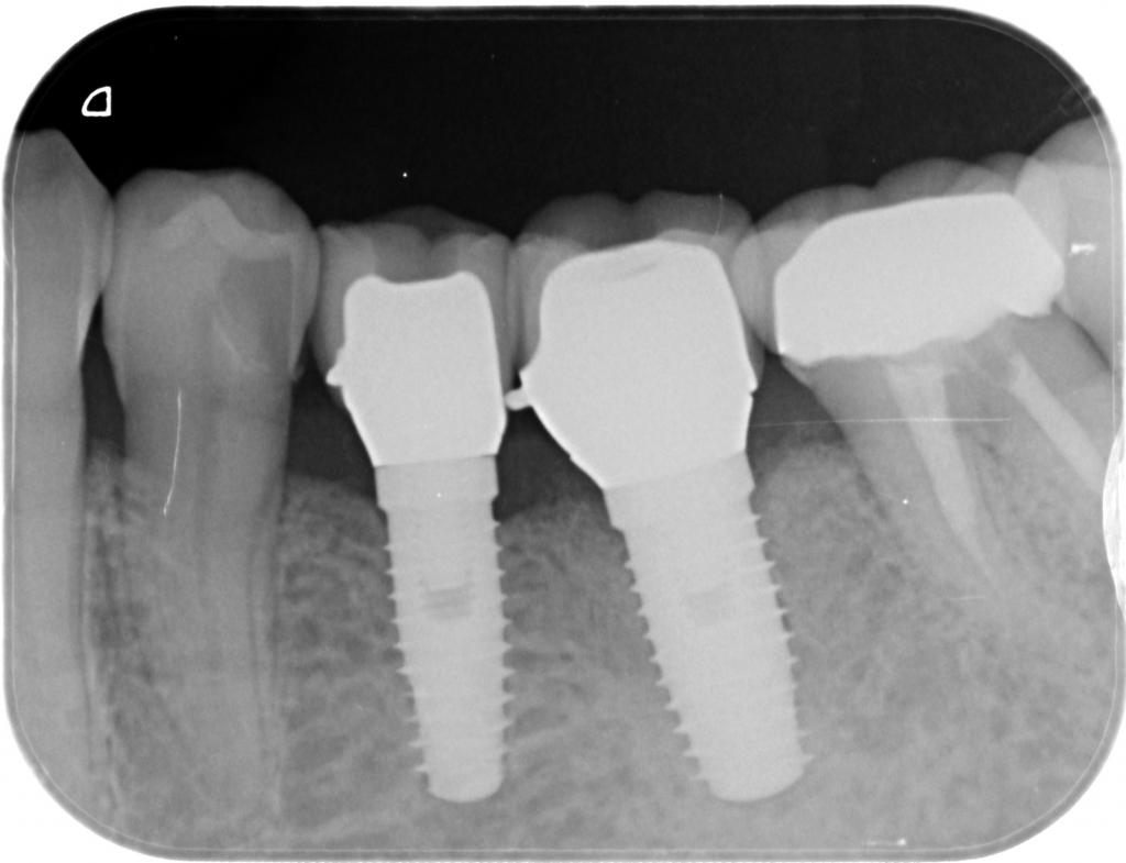
- 術後のレントゲン写真です。
長さ、方向、共に問題なく植立されています。
治療内容(使用材料含む)と医師所見
【CT解析費用】¥30.000-
【使用材料等】Socket Preservation:¥35.000-(Arrow Bone、Bio-Oss、Apaceram)
、PRP. PRF.
インプラント:¥220.000-/1本×2=¥440.000-(ZIMMER BIOMET)
メタルボンド:¥100.000--/1本(インプラント部分)×2=¥200.000-
インプラント治療事例についてのご案内
当院は説明責任を全うする観点からインプラント治療事例一覧(主訴、治療内容、症例写真等)を公開しております。
当ページにて公開しております治療事例は、患者さんより掲載許可をいただいております。
掲載の治療事例に関するお問合せはお問合せフォームにて承っております。
フォームの内容欄へ対象ページのURLを記載していただきお気軽にお問合せください。





