- 主 訴
- 下顎奥歯が痛い。腫れている
- 年 齢
- 48歳
- 性 別
- 女性
- 通院回数
- 11回
- 診療区分
- 自費
- 費 用
- ¥485.000ー
治療前写真

- 「左下、奥歯が腫れて噛めない!」と言って来院されました。
奥歯はレジン(硬い接着剤)で固定されていましたが、歯茎は大きく腫れていました。

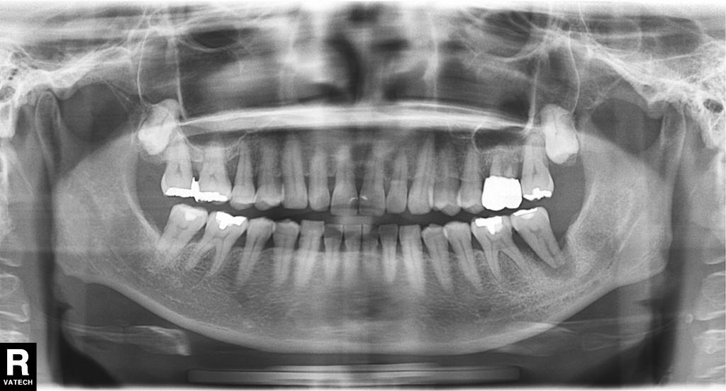
- 全体のレントゲン写真です。
左下奥歯の周りの骨は大きく吸収し、「浮いている様な状態」でした。
治療中写真

- 抜歯後、骨を作る処置を行い、患者さんと相談して「インプラント」を行うことにしました。
CTを撮影し、骨の正体を確認しました。

- インプラント埋入手術を行い、この段階でも更に「骨造成処置」を行いました。
治療後写真

- 術後の口腔内写真です。
あまりインプランとは目立たない様に植立されています。
患者さんも、普通に噛める様になって喜ばれていました。

- 術後のレントゲン写真です。
インプラントの周りには充分な骨の造成が見られ、歯を無くした時とは別の状態になっています。
治療内容(使用材料含む)と医師所見
【CT解析費用】¥30.000-
【使用材料等】Socket Preservation:¥35.000-(Arrow Bone、Bio-Oss、Apaceram)
GBR(¥100.000-/1箇所(β-TCP(オスフィール ⓡOlympus Terumo(社))、H.A.(アパセラム ⓡ京セラメディカル(社))、PRP. PRF.、インプラント:¥220.000-/1本(ZIMMER BIOMET)、メタルボンド:¥100.000--/1本(インプラント部分)
【院長所見】ソケットプリザべーションという方法を用いることで骨の吸収を抑え、インプラントを行う場合でも、審美的にも機能的にも自分の歯と同じように咬むことが出来るように骨の造成が出来ています。
インプラント治療事例についてのご案内
当院は説明責任を全うする観点からインプラント治療事例一覧(主訴、治療内容、症例写真等)を公開しております。
当ページにて公開しております治療事例は、患者さんより掲載許可をいただいております。
掲載の治療事例に関するお問合せはお問合せフォームにて承っております。
フォームの内容欄へ対象ページのURLを記載していただきお気軽にお問合せください。





