- 主 訴
- 奥歯が痛む、噛めない
- 年 齢
- 44歳
- 性 別
- 男性
- 通院回数
- 12回
- 診療区分
- 自費診療
- 費 用
- ¥80,000ー
治療前写真

- 「奥歯が浮いて噛めない!噛むと痛い!口が閉じれない!」と言って来院されました。
見てみると、歯茎は腫れて、歯はグラグラしていました。

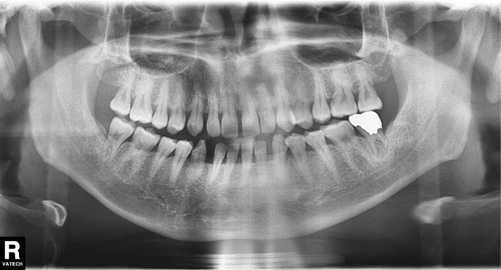
- レントゲン写真で見ると、この7番の部分の歯の周りの骨が大きく吸収しているのが分かりました。
これだけ吸収(溶けている)していると、治療しても必ず良くなるかどうかは断言できないことをお話しして、治療を行いました。
治療中写真

- 被っていた金属や、金属の柱を外して根っこの治療を行いました。

- きちんと根管と根尖を確認し、根管内の清掃を行いました。
治療後写真

- 術後の口腔内写真です。
強い咬合圧の緩和が出来る様、ハイブリッドの材料で修復しました。

- 術後のレントゲン写真です。
根尖部まで緊密にお薬が充填されていて、歯の周りの骨にも再生が見られました。
動揺も無くなり、以前の様に噛むことができる様になりました。
治療内容及び医師所見
【使用材料】グラディア(ハイブリッドのセラミックス)
【費用】グラディア:¥8.000-/1本
【院長所見】根尖部の病変は、根管内の治療の結果に左右されます。根管内の充分な清掃、根尖部までの緊密な充塡により根尖部の骨の再生が得られます。
この部分の処置が充分になされていないと、何度も補綴(歯冠修復)をやり直す結果になります。
根管治療事例についてのご案内
当院は説明責任を全うする観点から根管治療事例一覧(主訴、治療内容、症例写真等)を公開しております。
当ページにて公開しております治療事例は、患者さんより掲載許可をいただいております。
掲載の治療事例に関するお問合せはお問合せフォームにて承っております。
フォームの内容欄へ対象ページのURLを記載していただきお気軽にお問合せください。





